Virus Vũ Hán
- 3 March
Người tố cáo về dịch bệnh ở Vũ Hán đào tẩu khỏi Trung Quốc đến Mỹ sau trải nghiệm kinh hoàng
Hiện đang cư trú tại Los Angeles, California, cô Qing Tao kể với The Epoch Times về một buổi tối ba năm về trước, thời điểm khi công an đưa cô ra khỏi nhà vì…
- 13 January
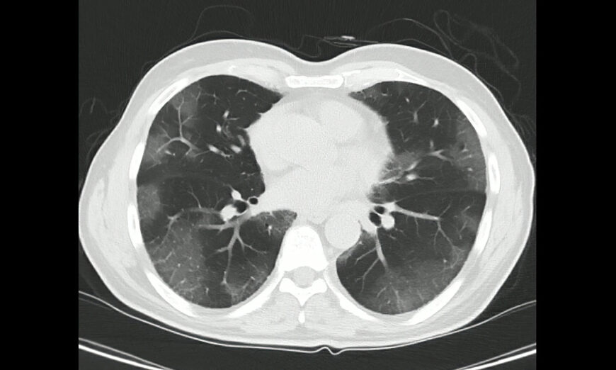
‘Điều này thật vô lý’: Các chuyên gia cố gắng giải thích tình trạng phổi trắng ở Trung Quốc
Trong khi dữ liệu chính thức từ Trung Quốc chỉ ghi nhận các ca bệnh nhẹ và tỷ lệ tử vong thấp xoay quanh đợt bùng phát COVID-19 mới đây nhất, thì mạng xã hội…
- 8 January
Một phòng thí nghiệm khác ở Vũ Hán: ‘Phòng thí nghiệm nghiên cứu virus’ hợp tác giữa Đức và Trung Quốc
Giả thuyết “rò rỉ phòng thí nghiệm” trái ngược với một bài báo chỉ ra rằng cụm ca nhiễm COVID-19 ban đầu ở Vũ Hán bờ bên kia sông Dương Tử so với Viện Virus…
- 5 January
Những câu chuyện về tình trạng ‘phổi trắng’ tràn ngập mạng xã hội Trung Quốc
“Phổi trắng” đã trở thành thuật ngữ được tìm kiếm nhiều nhất trên mạng xã hội Trung Quốc trong bối cảnh dịch bệnh bùng phát khắp cả nước.
- 5 January
Bắc Kinh đe dọa ‘đáp trả’ sau khi các nước áp dụng các hạn chế COVID-19 đối với du khách Trung Quốc
Chính quyền Trung Quốc đã chỉ trích điều họ gọi là các biện pháp “không thể chấp nhận được” mà nhiều quốc gia đã áp dụng đối với du khách đến từ Trung Quốc, khi…
- 20 October
Cựu giám đốc phòng thí nghiệm virus học Trung Quốc đột ngột qua đời
Cựu giám đốc Phòng thí nghiệm Trọng điểm Nhà nước về Virus học Ngô Kiến Quốc (Wu Jianguo) đã qua đời vì “bệnh đột ngột” sau nửa đêm hôm 03/10 tại thành phố Phật Sơn,…
- 7 July
[ĐỘC QUYỀN] Ông Chip Roy chất vấn khoa học gia hàng đầu về các liên kết với phòng thí nghiệm Vũ Hán
Dân biểu Chip Roy (Cộng Hòa-Texas) trong một bức thư hôm 06/07 đã chất vấn Tiến sĩ James LeDuc, cựu giám đốc Chi nhánh Y tế Đại học Texas (UTMB), về mối liên hệ giữa…
- 26 June
Các nỗ lực diễn ra đồng thời với việc thúc đẩy cộng tác với Trung Quốc
Năm 2020, các khoa học gia hàng đầu Hoa Kỳ đã giúp các nhà nghiên cứu tại Viện Virus Vũ Hán chống lại giả thuyết virus có thể bắt nguồn từ nơi này.
- 18 August
Hàng nghìn người chen chúc trong công viên nước Vũ Hán
Hàng nghìn người không đeo khẩu trang tham gia các trò chơi và đứng chen chúc tại sự kiện âm nhạc diễn ra ở công viên nước Maya Beach tại Vũ Hán cuối tuần trước,…
- 18 August
Bộ trưởng Philippines dương tính với virus Vũ Hán lần 2 sau 5 tháng
Ngày 17/8 Bộ trưởng Nội vụ Philippines, ông Eduardo Ano thông báo, ông xét nghiệm lại Covid-19 và đã cho kết quả dương tính lần thứ 2. Ông được chẩn đoán mắc Covid-19 lần đầu…
- 17 August
Tin Covid-19 chiều 17/8 tại Việt Nam: Bệnh nhân 964 ở Quảng Nam dương tính sau 1 tháng về từ Đà Nẵng
Liên quan đến bệnh nhân 964 là nhân viên CDC Quảng Nam, đến Đà Nẵng từ ngày 11/7 và ngày 15/8 được xét nghiệm dương tính với Covid-19, ngành y tế tỉnh Quảng Nam cho…
- 17 August
Tây Ban Nha phong tỏa thêm 2 vùng vì dịch Covid-19
Hai vùng La Rioja ở miền Bắc, và vùng Murcia ở Đông Nam Tây Ban Nha sẽ đóng cửa tất cả các vũ trường, hộp đêm và cấm một phần việc hút thuốc lá ngoài…
- 17 August
Tin Covid-19 ngày 17/8 tại Mỹ: Các nhà nghiên cứu tìm ra thứ tự các triệu chứng Covid-19
Hoa Kỳ vẫn đang là vùng bị dịch bệnh tàn phá mạnh mẽ nhất, tuy nhiên, tình hình có dấu hiệu dịu đi trong những ngày qua với số ca nhiễm mới giảm dần. Cũng…
- 16 August
Thợ mỏ Trung Quốc từng mắc viêm phổi Vũ Hán từ năm 2012?
Trả lời báo New York Post ngày 15/8, Nhà virus học Jonathan Latham cho biết, virus Vũ Hán "gần như chắc chắn thoát ra" từ Viện Virus học Vũ Hán của Trung Quốc. Cụ thể,…
- 16 August
Dịch viêm phổi Vũ Hán tái bùng phát ở Quảng Đông, đóng cửa 21 cửa hàng bán lẻ của Alibaba
Theo truyền thông Trung Quốc, Hệ thống Alibaba Fresh Hippo hôm 15/8, đã đóng cửa 21 cửa hàng chi nhánh ở miền nam Thâm Quyến, tỉnh Quảng Đông, Trung Quốc, và khử trùng các cửa…
- 14 August
Mỹ tìm thấy bằng chứng virus Vũ Hán bay lơ lửng xa đến 5 mét
Theo tờ New York Times, mới đây một nhóm các nhà virus học và chuyên gia về những bụi khí - aerosol của Đại học Florida (Mỹ) đã chứng minh được rằng: Virus còn sống…
- 14 August
Trung Quốc ‘lại phát hiện’ virus Vũ Hán trên cánh gà nhập từ Brazil
Reuter hôm 13/8 đưa tin, Chính quyền thành phố Thâm Quyến, tỉnh Quảng Đông, TQ đang cho truy vết tiếp xúc sau khi thông báo mẫu cánh gà đông lạnh nhập từ Brazil dương tính…
- 13 August
Một phụ nữ Hồ Bắc tái dương tính sau hơn 5 tháng hồi phục
SCMP ngày 12/8 cho biết, tại tỉnh Hồ Bắc, nơi có đợt bùng phát đầu tiên của virus Vũ Hán, một phụ nữ 68 tuổi đã có kết quả xét nghiệm dương tính hơn 5…
- 13 August
WHO sang Trung Quốc điều tra nguồn gốc virus corona, bỏ qua phòng thí nghiệm Vũ Hán
Theo SCMP, Tổ chức Y tế Thế giới sẽ bắt đầu cuộc điều tra ở Vũ Hán, nhưng nhấn mạnh rằng thành phố này có thể không phải là nơi mà virus này đã nhảy…
- 13 August
Bệnh nhân Covid-19 thứ 18 tử vong
Sáng 13/8, Bộ Y tế công bố ca tử vong thứ 18 liên quan đến Covid-19, bệnh nhân nữ 485, 52 tuổi, có địa chỉ ở Cẩm Lệ, Đà Nẵng. Chẩn đoán nguyên nhân tử…
- 13 August
Tin Covid-19 ngày 13/8 tại Việt Nam: Thêm 3 ca nhiễm mới; Hải Dương phong tỏa 1 thôn
Bộ Y tế sáng 13/8 ghi nhận thêm 3 ca nhiễm mới, trong đó 02 ca tại Quảng Nam và 01 ca tại Bạc Liêu được cách ly ngay sau khi nhập cảnh. Bệnh nhân…
- 12 August
Tân Cương đẩy mạnh phong tỏa để đối phó với virus Vũ Hán
Tại khu vực Tây Bắc Tân Cương của Trung Quốc, các cơ quan y tế đã liên tục báo cáo các ca nhiễm mới khi họ phải vật lộn để ngăn chặn đợt bùng phát…
- 11 August
Hàn Quốc phát hiện 3 biến chủng virus corona mới chưa rõ độc lực
Theo Đài CNA, giới chức y tế Hàn Quốc ngày 10/8 công bố đã phát hiện 3 chuỗi gen đột biến mới của virus Vũ Hán trên 3 bệnh nhân nhập cảnh từ nước ngoài,…
- 11 August
Indonesia: Cột tro bụi núi lửa cao 5 km; Thêm một thị trưởng thành phố tử vong vì Covid-19
Theo SCMP, Núi lửa Sinabung trên đảo Sumatra vào ngày 10/8, đã phun cột khói bụi cao khoảng 5 km trong ngày thứ ba hoạt động trở lại. Núi lửa này cao 2.460 m ở…
- 10 August
Tin Covid-19 tại Việt Nam sáng 10/8: Thêm 2 ca tử vong ở Đà Nẵng, phong tỏa một tầng của Bệnh viện Quảng Trị
Số ca tử vong do Covid-19 tại Việt Nam đã tăng lên 13 người. Tổng số người nhiễm hiện tại là 841 người. Bệnh nhân 430, là nữ, 33 tuổi, địa chỉ Phường Hải Châu…

























